Posouzení plnochruposti
Odborná stomatologická konzultace
Prvním krokem před jakýmkoliv stomatologickým úkonem u nás je vždy odborní stomatologická konzultace neboli zubní vyšetření. Bez toho nejsme schopni určit typ, rozsah a ani cenu potřebného stomatologického / stomatochirurgického zákroku. Snažíme se k našim klientům přistupovat transparentně tak aby bylo zcela jasno, co všechno je potřebné udělat a kolik to bude stát.
Cena za odbornou stomatologickou konzulaci je 940,-.
Plnochrupost u psa – co to je?
Plnochrupost u psa znamená, že má pes všechny zuby, které podle standardu jeho plemene má mít – tedy kompletní trvalý chrup. U většiny plemen to znamená celkem 42 zubů: 20 v horní čelisti a 22 ve spodní. Patří sem řezáky, špičáky, třenové zuby a stoličky.
Kdy je plnochrupost potřeba?
Plnochrupost je důležitá především u výstavních jedinců a psů určených k chovu. U některých plemen je podmínkou pro získání titulu nebo pro uchovnění. Jinde sice chybějící zub není diskvalifikací, ale jeho přítomnost může ovlivnit celkové hodnocení psa.
Kdo a jak plnochrupost posuzuje?
Plnochrupost posuzuje veterinární lékař se specializací na stomatologii. Rozhodčí na výstavě může mít orientační názor, ale oficiální posouzení (např. pro chovné podmínky) musí být potvrzeno veterinárním stomatologem, který dokáže správně identifikovat všechny typy zubů a jejich postavení.
Pro posouzení je potřeba:
Trpělivý a dobře socializovaný pes, který si nechá prohlédnout zuby.
Zkušený odborník, schopný rozeznat všechny zuby a posoudit jejich úplnost.
Veterinární potvrzení nebo záznam v průkazu původu, pokud to vyžaduje chovatelský klub.
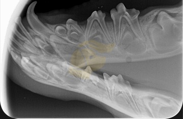
Intraorální rentgen – když zub není vidět
V případech, kdy některý zub není viditelný, ale není jasné, zda skutečně chybí, nebo je pouze neprořezaný, se používá intraorální rentgen. Tento typ snímkování umožňuje zjistit, zda se zub nachází v čelisti, ale z nějakého důvodu neprorazil dáseň (např. je impaktovaný nebo retenovaný).
Rentgen pomáhá určit:
Přítomnost zubu v čelisti.
Genetické chybění zubu (nezaložen).
Zda byl zub extrahován nebo ztracen v důsledku úrazu či nemoci.
Intraorální rentgen se provádí nejčastěji v sedaci nebo krátké anestezii, protože pes musí během zákroku zůstat zcela v klidu. Je to neinvazivní a velmi přesný způsob, jak doložit plnochrupost i v nejasných případech.









