Endodontické ošetření - terapie kořenových kanálků
Odborná stomatologická konzultace
Prvním krokem před jakýmkoliv stomatologickým úkonem u nás je vždy odborní stomatologická konzultace neboli zubní vyšetření. Bez toho nejsme schopni určit typ, rozsah a ani cenu potřebného stomatologického / stomatochirurgického zákroku. Snažíme se k našim klientům přistupovat transparentně tak aby bylo zcela jasno, co všechno je potřebné udělat a kolik to bude stát.
Cena za odbornou stomatologickou konzulaci je 940,-.
Co je dřeňová dutina a endodontické ošetření?
Střed zubu jinak řečeno dřeňová dutina je "kanálek" který vyživuje zub a obsahuje měkkou tkáň - dřeň. Dřeň se skládá z nervové tkáně, krevních cév a lymfatické tkáně.
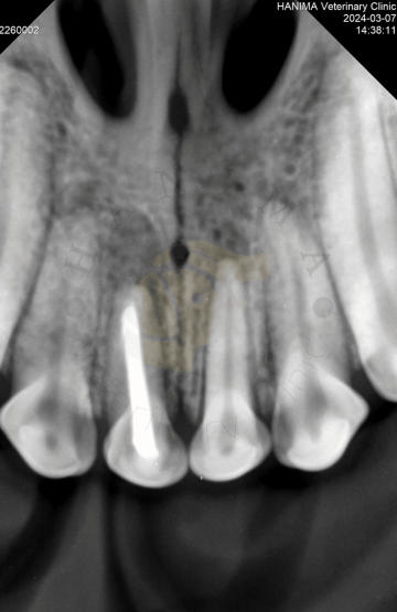
Endodontické ošetření znamená ošetření vnitřního prostoru zubu, laicky řečeno ošetření kořenových kanálků zubu. Je nutné ho provést vždy, když dojde v zubní dřeni k patologickému procesu, tedy zánětu nebo odumření, ať už následkem příliš velkého zubního kazu, nebo úrazu.
Léčba kořenových kanálků (endodoncie) je léčba, která zahrnuje odstranění infikované dřeně z kořenového kanálku zubu, sterilizaci (dezinfekci) kanálku a nahrazení odstraněné tkáně zubním materiálem. Kořenový kanálek je přístupný přes korunku zubu. Jakmile je kořenový kanálek naplněn zubním materiálem, přístup přes korunku je vyplněn (obnoven), aby se zabránilo dalšímu přístupu bakterií do kořenového kanálku. Konečným cílem je zabránit bakteriím v pronikání do zubu. Standartní terapie kořenových kanálků umožňuje domácímu mazlíčkovi zachovat si zub (ačkoli již nežije) a zachovat jeho funkci, protože strukturální integrita zubu byla zachována.
Jak poznám, že můj pes potřebuje terapii kořenových kanálků?
Když si pes zlomí zub a obnaží dřeň, bakterie a zbytky z úst proniknou do středu zubu. V důsledku toho se rozvine bolestivý zánět dřeně (pulpitida), který nakonec způsobí odumírání nervů a krevních cév (nekróza dřeně). Bakterie pronikají ven z kořenového hrotu (špička kořene obklopená kostí) a infikují kost kolem kořene (apikální parodontitida). Pulpitida i apikální parodontitida jsou velmi bolestivé. Vzhledem k tomu, že infekce zubu a následně také infekce kosti kolem kořene je vysoce pravděpodobná, zlomené zuby s obnažením dřeně by měly být co nejdříve ošetřeny buď standardní terapií kořenových kanálků tj. endodonticky, nebo extrakcí.
Proč bych měl chtít, aby můj pes měl kořenový kanálek místo extrakce?
Léčba kořenových kanálků je méně invazivní než extrakce a ve většině případů terapie kořenových kanálků zachrání zub po zbytek života psa. Alternativou je vytržení zubu. U zubu s dobrou alveolárnou podporou, tj. kromě obnažené pulpy jinak zdravý zub, to vyžaduje preparaci měkkých tkání a případně odstranění/odbroušení alveolární kosti. To všechno nese sebou zvýšené poškození měkkých a tvrdých tkání v dutině ústní a s tím spojená delší doba rekonvalescence. Proto se na naší klinice, pokud je to možné, vždy snažíme zuby zachránit a to především zuby strategické - špičáky a zuby trhákového komplexu.
Je terapie kořenových kanálků bolestivá?
Právě naopak. Terapie kořenových kanálků odstraňuje infikovanou a zanícenou dřeň a během sterilizačního procesu zabíjí bakterie. Vstup do kanálku a korunky je vyplněn inertním materiálem, který zabraňuje dalšímu pronikání bakterií do zubu. Ve většině případů se destrukce kosti obklopující kořen vyřeší a zub se okamžitě vrátí do bezbolestné funkce.
Je drahé nechat opravit zuby mého psa pomocí terapie kořenových kanálků?
Zcela upřímně, endodontické ošetření není levnější v porovnaní s extrakcí. Na straně druhé mazlíčkovi zůstává v tlamě funkční zub. Provádění terapie kořenových kanálků vyžaduje podobné vybavení, materiály a odborné znalosti jako v humánní stomatologii. Mnoho pojištění zvířat pokrývá část nebo všechny náklady spojené s endodontickým ošetřením.














































